Facetas em resina.
Resoluções estéticas para dentes anteriores sempre são um desafio para o cirurgião dentista.
Lidamos com um dos mais importantes traços que compõem a autoestima de uma pessoa; o sorriso é parte importantíssima da apresentação e aceitação social.
Vários pacientes vêm munidos de informações detalhadas sobre técnicas que trazem um resultado final desafiador para qualquer profissional. O que ocorre na maioria dos casos é que a situação inicial do caso clínico mostrado é quase sempre “perfeita” para executarmos uma reabilitação digna de fotos para trabalhos científicos.
Nem sempre há possibilidade de uma harmonia tão mágica!
Muito mais que dentes, precisamos analisar as condições do periodonto, alinhamento e posição dos dentes, fenótipo gengival (características do tecido mole), pontilhado gengival, harmonia do rosto, custos e tratamentos mais ou menos invasivos.
Todo tratamento onde recobrimos um elemento dentário por completo, temos mais chances de obtermos uma estética mais aceitável.
Tratar, cuidar, preservar e conservar dentes é sempre mais difícil!
Vamos a um caso clínico.
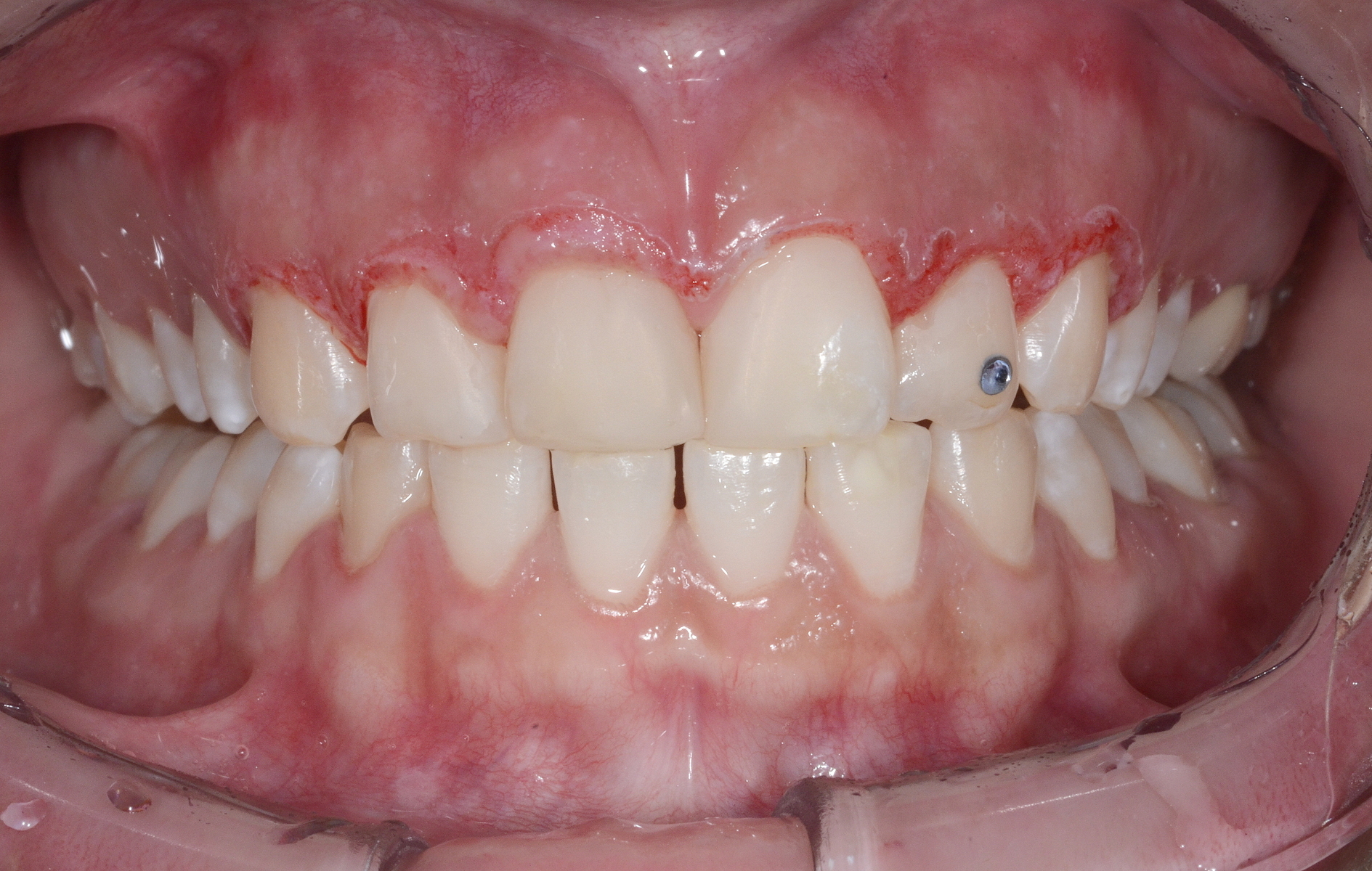
Apresentação inicial:
Paciente insatisfeita com seu sorriso que ao longo da vida foi restaurando apenas as lesões cariosas sem pensar em um conjunto de dentes e tudo mais que implica no sorriso. O resultado não poderia ser outro: um caos em termos estéticos e de saúde bucal.
Vejam, mesmo frequentando continuadamente consultórios odontológicos, a odontologia falhou neste caso.
Fizemos inicialmente o tratamento periodontal (gengiva). Em seguida o clareamento a laser com reforço de moldeiras para uso do gel clareador em casa. Finalizamos o clareamento com um verniz clareador de uso diário.
Fomos então para a fase cirúrgica onde fizemos o afilamento dos bordos da gengiva e novo contorno gengival em torno dos dentes. Para esta conduta usamos um laser cirúrgico.
Depois de cicatrizada toda a gengiva optamos por facetas diretas em resina.
Resultado final:
A variedade de materiais e equipamentos que dispomos proporciona resultados estéticos satisfatórios com maior segurança e preservação do elementos dentários.








