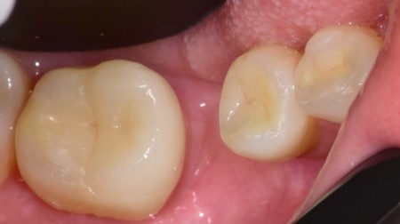
Inlays cerâmicos em Roseta LT A1. Deixe um comentário / Casos Clínicos., Laminados cerâmicos / Por Edu Tavares Inlays cerâmicos em dissilicato de lítio (Roseta) com transparência moderada do material para maior qualidade na emenda das peças com o remanescente dentário. Compartilhar: